감별 진단의 주요 대상 및 유사 증상
허혈성 뇌졸중과 모야모야병
유사점:
허혈성 뇌졸중은 혈관 폐색에 의해 특정 뇌 영역의 혈류가 차단되어 발생하며, 모야모야병 역시 협착으로 인한 허혈성 발작(TIA) 및 뇌경색 증상을 보입니다.
차이점:
일반적인 허혈성 뇌졸중은 대개 동맥경화, 심장성 색전 등 명확한 원인에 의해 발생하는 반면, 모야모야병은 주로 내경동맥 말단부에서 진행성 협착과 신생혈관 형성이 동반됩니다. 또한, 모야모야병은 양측성이며, 영상상으로 ‘연기 모양(smoke-like)’의 혈관망이 특징적입니다.
동맥경화와 모야모야병
유사점:
두 질환 모두 동맥의 협착과 혈류 저하를 초래할 수 있으며, 특히 성인에서 나타나는 경우 비슷한 허혈성 증상을 보일 수 있습니다.
차이점:
동맥경화는 일반적으로 노화나 고지혈증, 당뇨 등의 위험 인자와 관련되어 국소적인 동맥경화 플라크가 형성되는 반면, 모야모야병은 젊은 연령대에서도 발생하며, 주로 내경동맥 말단부에 양측성 협착이 관찰됩니다. 또한, 동맥경화는 대개 불규칙한 혈관 경로를 보이지만, 모야모야병은 특유의 신생혈관 및 우회 혈관 형성이 확인됩니다.
혈관염과 모야모야병
유사점:
혈관염은 염증성 반응에 의해 혈관 벽이 손상되어 협착이나 폐색이 발생하는 질환입니다. 일부 혈관염 환자도 모야모야병과 유사한 혈관 소견을 보일 수 있습니다.
차이점:
혈관염은 전신적인 염증 증상(발열, 관절통, 체중 감소 등)을 동반하는 경우가 많으며, 혈액 검사에서 염증 수치(CRP, ESR 등)가 상승되어 있는 반면, 모야모야병은 전형적으로 이러한 전신 증상이 뚜렷하지 않습니다. 또한, 혈관염의 경우 비정형적인 혈관 손상이 분포하는 반면, 모야모야병은 내경동맥 말단부와 그 분지에 국한된 협착 및 신생혈관 형성이 특징적입니다.
선천적 뇌혈관 기형과 모야모야병
유사점:
선천적 뇌혈관 기형(예: 동정맥 기형, 뇌동맥류 등) 역시 뇌혈관 구조의 이상으로 인해 허혈이나 출혈 증상이 발생할 수 있습니다.
차이점:
선천적 기형은 일반적으로 태어날 때부터 존재하며, 구조적으로 명확한 기형 소견(비정상적인 혈관망의 위치와 형태)이 관찰되는 반면, 모야모야병은 후천적으로 진행되며, 영상상으로는 내경동맥 협착과 이에 따른 우회 혈관 형성이 특징적으로 나타납니다.
감별 진단에 활용되는 영상 및 임상 검사
영상 검사
MRI 및 MRA:
모야모야병의 경우, MRI를 통해 뇌 조직의 허혈성 변화와 미세한 뇌경색 병변을 확인할 수 있으며, MRA에서는 내경동맥 말단부의 협착과 모야모야 혈관이 ‘연기 모양’으로 나타나는 것이 특징입니다. 다른 뇌질환에서는 이러한 양상이 보이지 않는 경우가 많습니다.
DSA (디지털 감산 혈관조영술):
DSA는 모야모야병 진단의 골든 스탠다드로, 내경동맥의 협착 정도와 신생혈관의 형성 정도를 정밀하게 평가할 수 있습니다. 예를 들어, 동맥경화나 혈관염의 경우 혈관의 손상 양상과 분포가 다르게 나타나므로, DSA를 통한 정밀한 비교가 감별 진단에 도움이 됩니다.
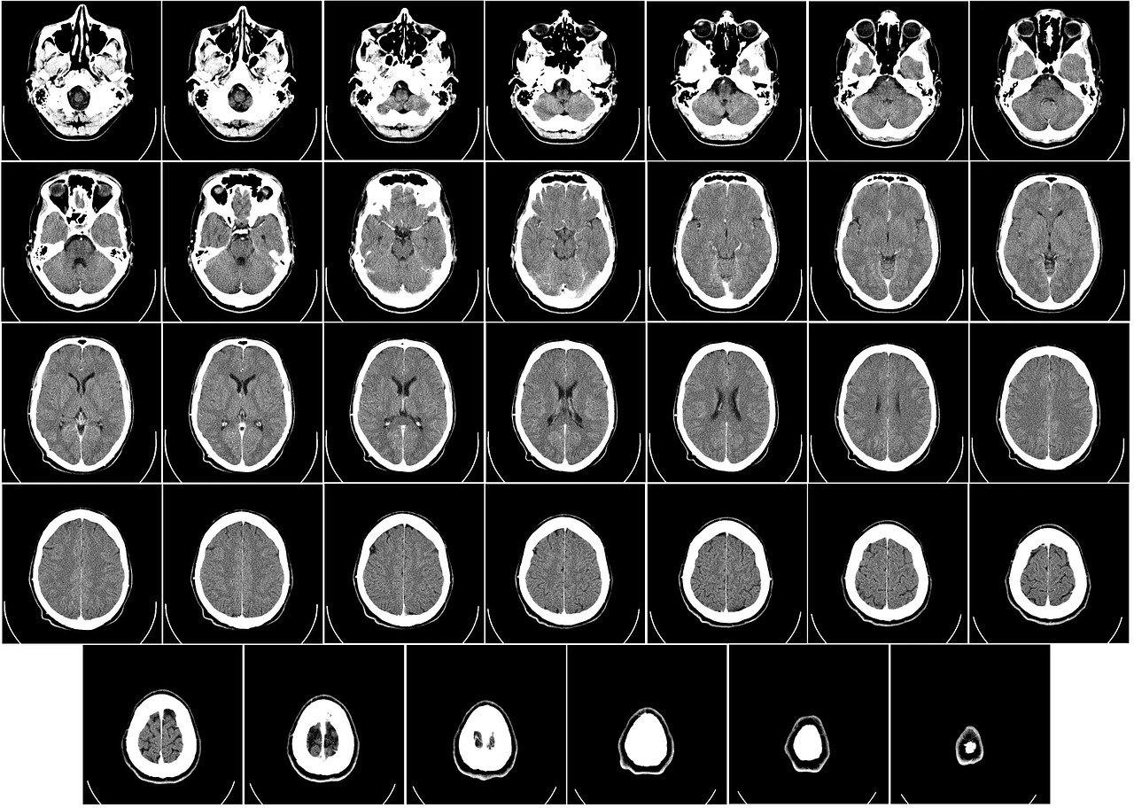
CT 및 CT 혈관조영술(CTA):
CT는 급성 뇌출혈이나 뇌경색 평가에 유용하며, CTA를 통해 혈관의 협착 부위를 확인할 수 있습니다. 모야모야병의 경우, CT 상에서도 내경동맥 말단부의 협착과 우회 혈관 형성이 관찰될 수 있으나, MRA와 DSA에 비해 세부적인 혈관 소견은 다소 부족할 수 있습니다.
임상 검사
신경학적 평가:
환자의 증상, 신경학적 결손, 발작 및 일과성 허혈 발작(TIA) 등의 증상을 종합적으로 평가합니다. 모야모야병은 일반적으로 양측성으로 나타나는 경향이 있어, 한쪽에 국한된 증상을 보이는 동맥경화나 뇌혈관 기형과 구분할 수 있습니다.
혈액 검사:
염증성 혈관염과 감별하기 위해 C-reactive protein(CRP), ESR(적혈구 침강 속도) 등 염증 지표를 확인합니다. 모야모야병은 전신 염증 수치가 크게 상승하지 않는 반면, 혈관염은 이러한 지표가 높게 나타날 수 있습니다.
병력 및 가족력 조사:
가족 내 모야모야병 발생 여부나 유전적 소인을 확인하는 것도 중요한 감별 진단 요소입니다. 가족력이 뚜렷한 경우 모야모야병의 가능성이 높아집니다.
사례 분석
사례 1: 35세 여성, 일과성 허혈 발작 및 양측성 두통
임상 소견:
환자는 갑작스런 한쪽 팔과 다리의 일시적 마비 및 감각 저하를 10회 이상 경험하였으며, 주기적인 심한 두통을 호소하였습니다.
영상 검사 결과:
MRI와 MRA에서 내경동맥 말단부의 양측 협착과 모야모야 혈관 형성이 확인되었으며, DSA에서는 '연기 모양'의 미세 혈관망이 뚜렷하게 나타났습니다.
감별 진단:
허혈성 뇌졸중이나 동맥경화와 달리, 양측성이며 비교적 젊은 연령대의 환자에서 이러한 영상 소견이 관찰된 점이 모야모야병을 시사하였습니다.
사례 2: 50세 남성, 급성 뇌출혈 증상 및 전신 증상 없음
임상 소견:
환자는 갑작스러운 심한 두통과 의식 저하, 구토 증상을 동반한 상태로 내원하였습니다. 전신 염증 증상이나 자가면역 증상은 관찰되지 않았습니다.
영상 검사 결과:
CT와 CTA를 통해 급성 뇌출혈이 확인되었고, DSA에서는 내경동맥 말단부의 진행성 협착과 보상적 우회 혈관 형성이 관찰되었습니다.
감별 진단:
뇌출혈이 주 증상인 동맥류나 혈관염과 감별하기 위해, 환자의 전신 염증 수치와 가족력, 그리고 DSA 소견을 종합하였으며, 이로 인해 모야모야병으로 최종 진단되었습니다.
사례 3: 28세 여성, 반복되는 TIA와 경미한 인지 장애
임상 소견:
환자는 반복적인 일과성 허혈 발작(TIA)과 함께 가벼운 인지 기능 저하, 특히 집중력 저하와 기억력 감퇴를 호소하였습니다.
영상 검사 결과:
MRI에서는 소규모 뇌경색 병변이 관찰되었고, MRA에서는 내경동맥 말단부의 협착 및 신생혈관 형성이 확인되었습니다.
감별 진단:
이 사례에서는 동맥경화와의 감별이 중요한데, 환자가 젊은 연령대이며 전형적인 위험 인자가 없는 점, 그리고 영상 상의 양측성 협착 및 모야모야 혈관 형성이 모야모야병의 특징임을 확인할 수 있었습니다.

'건강한 삶 > 모야모야병' 카테고리의 다른 글
| [모야모야병] 약물치료 분석 (0) | 2025.03.18 |
|---|---|
| [모야모야병] 치료적 전략 및 보존적 치료 (0) | 2025.03.17 |
| [모야모야병] 유전자 검사 및 바이오마커 진단법 (0) | 2025.03.16 |
| [모야모야병] 기능적 뇌영상(SPECT, PET)의 역할과 적용 방법 (0) | 2025.03.16 |
| [모야모야병] CT 및 디지털 감산 혈관조영술(DSA) (0) | 2025.03.15 |