전체 글 146

[모야모야병] 뇌혈관의 정상적인 구조와 기능

뇌혈관의 정상적인 구조와 기능뇌는 인체에서 매우 중요한 기관으로, 인체 전체 산소 소비량의 약 20%를 차지할 정도로 혈액과 산소에 대한 요구량이 높습니다. 따라서 뇌혈관은 뇌 조직에 필수적인 산소와 영양분을 지속적으로 공급하고 이산화탄소 및 노폐물을 제거하는 중요한 기능을 담당하고 있습니다. 아래에서는 뇌혈관의 정상적인 구조와 기능에 대해 자세히 살펴보겠습니다. 뇌혈관의 구조적 특징 내경동맥(Internal Carotid Artery)뇌 전반부에 혈액을 공급하며, 전대뇌동맥(ACA), 중대뇌동맥(MCA)을 형성합니다.특히, 중대뇌동맥(MCA)은 뇌의 가장 넓은 영역에 혈액을 공급하여 중요합니다.척추동맥(Vertebral Artery)뇌의 후방부에 혈액을 공급하며, 기저동맥을 형성합니다.주로 뇌간, 소뇌..

모야모야병의 국내외 현황과 연구 동향

국내 현황 유병률 및 환자 수 증가국내에서 모야모야병 환자는 지속적으로 증가하는 추세를 보이고 있습니다. 건강보험심사평가원 자료에 따르면, 2018년 11,860명이던 환자 수는 2023년 17,459명으로 5년간 약 47.2% 증가하였습니다. 이는 인구 10만 명당 약 18.1명의 유병률을 나타내며, 전 세계적으로 높은 수준입니다. ​ 성별 및 연령별 특성여성의 발병률이 남성보다 약 2배 높으며, 특히 20세 이하 여성에서 발생률이 증가하는 추세를 보입니다. 이는 여성 대 남성 비율이 1.8:1로 나타나고 있습니다. ​ 주요 증상 및 합병증모야모야병은 소아 뇌졸중의 주요 원인으로 꼽히며, 성인에서는 뇌출혈의 빈도가 증가하는 양상을 보입니다. 주요 증상으로는 두통, 마비 증상, 감각기능 저하, 언어장애,..

모야모야병의 전 세계적 유병률 및 발생 빈도 분석

모야모야병은 뇌혈관이 점진적으로 협착되고 폐쇄되어 뇌혈류에 이상을 초래하는 희귀 질환입니다. 이 질환의 전 세계적인 유병률과 발생 빈도는 지역별로 상당한 차이를 보입니다. 아래에서는 이러한 역학적 특성을 살펴보겠습니다. 전 세계적인 유병률 및 발생 빈도 한국: 건강보험심사평가원 자료에  따르면, 2018년 국내 모야모야병 환자는 11,860명이었으며, 2023년에는 17,459명으로 5년간 약 47.2% 증가하였습니다. 이는 인구 10만 명당 약 18.1명의 유병률을 나타내며, 전 세계에서 가장 높은 수준입니다. ​ 일본: 일본에서는 인구 10만 명당 10.5명의 유병률과 연간 0.94명의 발생률이 보고되었습니다. ​ 중국: 정확한 통계는 부족하지만, 아시아 지역에서 모야모야병 환자의 상당 부분을 차지하..

희귀질환으로서의 모야모야병의 중요성

희귀질환으로서의 모야모야병의 중요성모야모야병은 전 세계적으로 희귀질환으로 분류됩니다. 희귀질환은 일반적으로 인구 10만 명당 50명 미만의 빈도로 발생하는 질병을 의미하며, 모야모야병은 이 기준에 부합하는 대표적인 희귀 뇌혈관 질환입니다. 특히 아시아, 특히 한국과 일본 등 동아시아 지역에서는 상대적으로 발생 빈도가 높지만, 서양 국가에서는 매우 드물게 나타납니다. 이러한 발생 양상의 차이는 모야모야병의 연구 및 진단, 그리고 치료 전략을 수립하는 데 있어서 중요한 국제적 협력의 필요성을 강조합니다.희귀질환으로서 모야모야병이 가지는 의학적, 사회적 중요성은 다음과 같은 측면에서 설명할 수 있습니다. 의학적 중요성: 진단의 어려움과 조기 발견의 필요성모야모야병은 초기 증상이 모호하고 비특이적이어서 초기에 ..

모야모야병의 역사적 배경과 발견

모야모야병의 역사적 배경과 발견 과정에 대해서 상세히 정리하여 안내드리겠습니다. 이 내용을 통해 모야모야병이 어떻게 발견되고 정의되었으며, 어떤 역사적 과정을 통해 현재에 이르렀는지 명확히 이해할 수 있을 것입니다. 모야모야병 발견 이전의 배경모야모야병이 공식적으로 발견되고 명명되기 전부터 의학계는 비정상적인 뇌혈관 협착과 이에 따른 이상한 임상 증상을 가진 환자들을 여러 차례 보고하고 있었습니다. 초기 사례들은 대부분 원인을 알 수 없는 소아 뇌졸중, 반복적인 발작, 두통, 마비 증상 등이었습니다. 19세기 후반부터 20세기 초반까지 신경학 및 뇌혈관학 연구가 발전하면서, 비특이적으로 뇌혈관 이상이 보고되었지만, 이를 하나의 독립된 질환으로 구분하는 개념은 없었습니다. 모야모야병의 최초 보고와 발견 (..

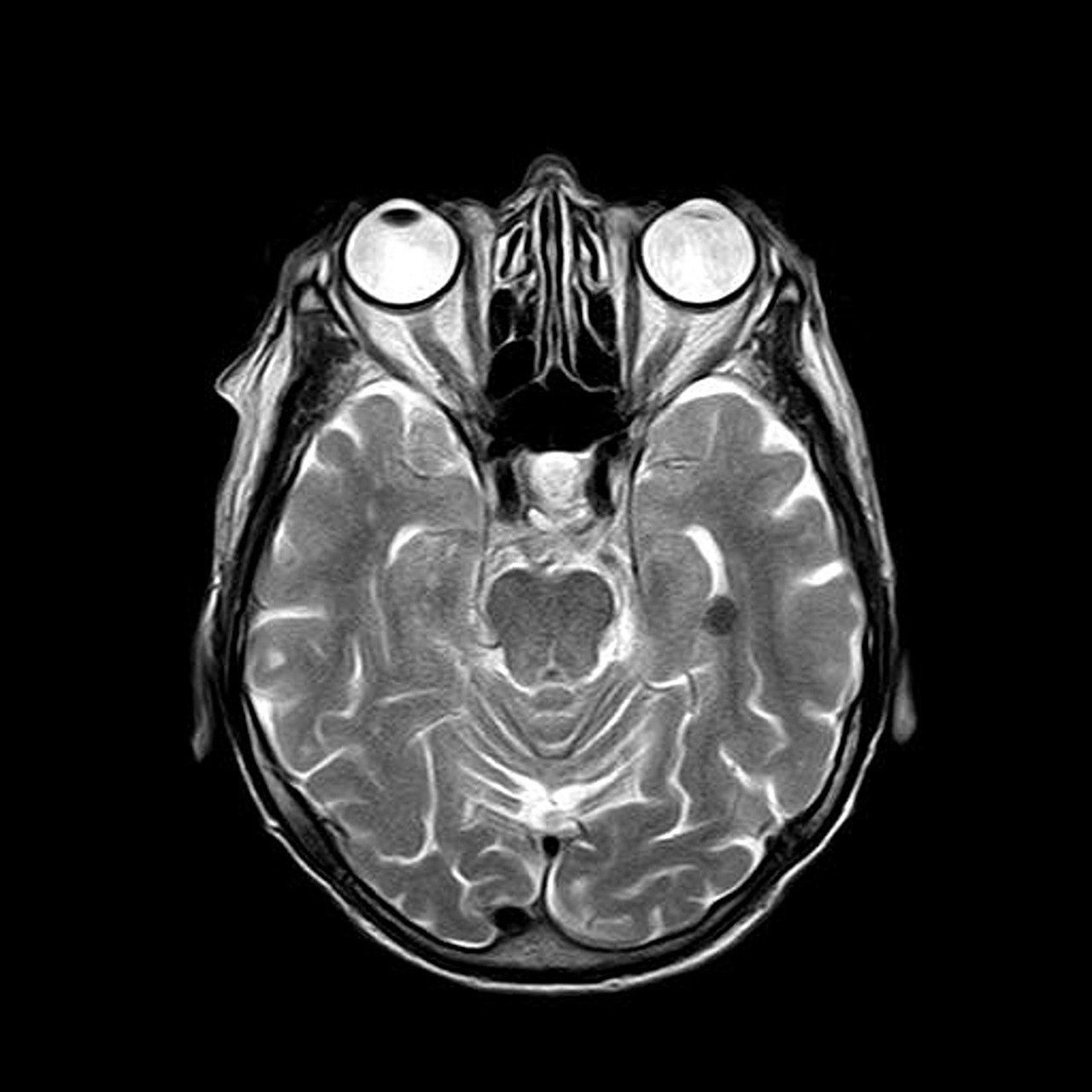
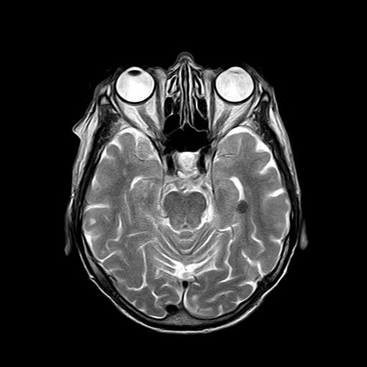
희귀병 모야모야병

모야모야병은 만성 진행성 뇌혈관 질환으로, 뇌에 혈액을 공급하는 주요 동맥들이 점진적으로 좁아지거나 폐색되면서 발생합니다. 이 질환의 이름은 일본어 모야모야에서 유래되었는데, 이는 조영술 검사 시 폐색된 혈관 부위에서 미세하게 형성된 대체 혈관들이 흐릿하게 나타나는 모습을 비유한 것입니다. 모야모야병은 주로 소아와 청소년에서 많이 발생하지만, 성인에게도 나타날 수 있으며, 연령대에 따라 임상 증상과 진행 양상이 다르게 나타납니다. 모야모야병의 가장 큰 특징은 뇌의 주요 혈관, 특히 내경부 동맥과 그 가지들이 서서히 협착되거나 폐색되면서 뇌혈류가 감소한다는 점입니다. 이로 인해 뇌조직은 산소와 영양분 공급 부족 상태에 빠지게 되며, 뇌는 이를 보상하기 위해 주변의 소규모 혈관 네트워크를 활성화시켜 우회로를..

당뇨병 치료에 사용되는 약물들의 부작용

안녕하세요.당뇨병 치료에 사용되는 약물들의 부작용에 대해 자세히 알아보겠습니다. 당뇨병 약물은 혈당을 조절하고 합병증을 예방하기 위해 매우 중요한 역할을 하지만, 일부 약물은 부작용 때문에 걱정의 대상이 되기도 합니다. 그렇다면 실제로 당뇨병 약물의 부작용이 많은지, 그리고 어떤 종류의 부작용이 나타날 수 있는지 구체적으로 알아보겠습니다. 당뇨병 약물의 종류와 주요 부작용 인슐린 인슐린 요법은 제1형 당뇨병 및 진행된 제2형 당뇨병 환자에게 필수적인 치료법입니다.인슐린 사용 시 가장 흔한 부작용은 저혈당입니다. 주사 부위의 지방 흡수 이상, 피부 주름이나 경색 등 국소 부작용도 발생할 수 있습니다.저혈당 예방을 위해 식사, 운동, 약물 용량 등을 면밀히 조절하고 정기적인 혈당 모니터링이 필요합니다. 메트..

당뇨병이 치매 발생에 어떻게 영향을 미치는지, 그 기전과 주요 원인, 그리고 예방과 관리 방법

안녕하세요.당뇨병과 치매의 관계에 대해 자세히 알아보고자 합니다. 최근 연구에 따르면, 당뇨병 환자는 일반인에 비해 치매, 특히 알츠하이머병과 혈관성 치매의 위험이 높다는 결과가 보고되고 있습니다. 이 글에서는 당뇨병이 치매 발생에 어떻게 영향을 미치는지, 그 기전과 주요 원인, 그리고 예방과 관리 방법에 대해 구체적으로 알아 보겠습니다. 당뇨병과 치매, 왜 연관될까요?당뇨병은 만성 고혈당 상태와 인슐린 저항성을 특징으로 하는 질환입니다. 이러한 대사 이상은 전신의 혈관과 신경에 영향을 미치는데, 특히 뇌의 미세혈관과 신경 세포에도 큰 손상을 줄 수 있습니다. 당뇨병 환자에서는 혈당 조절이 어렵기 때문에, 뇌의 혈관 손상과 산화 스트레스, 염증 반응 등이 진행되어 치매의 발병 위험을 높이는 것으로 알려져..

마른 당뇨병 환자가 일반 당뇨병 환자보다 혈당 조절이 어려운 이유

안녕하세요.마른 당뇨병 환자가 일반 당뇨병 환자보다 혈당 조절이 어려운 이유에 대해 자세히 알아보겠습니다. "마른 당뇨병"은 보통 비만과 관련된 제2형 당뇨병과 달리, 체중이 정상 또는 낮은 상태에서도 당뇨병이 발생하는 경우를 말합니다. 이러한 형태의 당뇨병은 주로 췌장의 인슐린 분비 부족이나 자가면역 반응에 기인하는 경우가 많아, 인슐린 저항성보다 인슐린 부족이 주된 문제로 나타납니다. 그 결과, 혈당 조절이 어려워지고 치료가 복잡해지는 특징이 있습니다. 이제 마른 당뇨병 환자가 왜 혈당 조절에 어려움을 겪는지, 그 원인과 배경, 그리고 관리의 어려움에 대해 알아 보겠습니다. 마른 당뇨병의 개념과 특징마른 당뇨병은 체중이 정상 이하이거나 비만하지 않은 사람에게서 발생하는 당뇨병을 의미합니다. 일반적인 ..

당뇨병과 구강 건강의 관계, 당뇨병 환자들이 주의해야 할 구강 합병증, 그리고 효과적인 구강 관리 방법

안녕하세요.당뇨병 환자가 구강 건강을 유지하기 위해 어떤 점들을 특히 주의해야 하는지에 대해 자세히 알아보고자 합니다. 당뇨병은 전신 대사에 영향을 미치는 만성 질환으로, 고혈당 상태가 지속되면 혈관, 신경뿐 아니라 구강 내에도 여러 부정적인 영향을 끼칩니다. 이로 인해 치주염, 구강 건조증, 잇몸 출혈 등 다양한 구강 질환이 발생할 위험이 높아지는데요 당뇨병과 구강 건강의 관계당뇨병 환자에게서 구강 건강 문제가 발생하는 이유는 여러 가지가 복합적으로 작용하기 때문입니다. 우선, 만성 고혈당 상태는 혈관 내피세포를 손상시켜 전신의 혈액 순환을 저해합니다. 구강 내 잇몸과 치주 조직은 미세혈관으로 구성되어 있어, 혈당이 높으면 잇몸의 혈액 공급이 원활하지 않아 세포 재생과 면역 기능이 떨어지게 됩니다. 결..

반응형