전체 글 154

[모야모야병] 수술치료 필요성

모야모야병의 수술치료 필요성에 대한 심층 분석모야모야병은 내경동맥 말단부와 그 분지인 중대뇌동맥, 전대뇌동맥 등 주요 뇌혈관에서 점진적인 협착과 폐색이 발생하는 희귀 질환입니다. 이러한 혈관 변화는 뇌혈류 공급을 급격히 감소시키며, 뇌의 허혈 상태를 초래하여 다양한 신경학적 증상을 유발합니다. 모야모야병은 진행성이며 예측이 어려워, 초기에는 미약한 증상만 나타날 수 있으나 병이 진행되면 뇌경색이나 뇌출혈 같은 심각한 합병증을 초래할 가능성이 큽니다. 이 때문에 모야모야병 환자에서 수술치료는 단순한 증상 완화 이상의 역할을 하며, 궁극적으로 환자의 예후와 삶의 질을 결정짓는 핵심 치료 전략으로 자리 잡고 있습니다.질환의 병태와 진행 특성모야모야병은 내경동맥 말단부의 협착이 진행되면서 뇌의 주요 부위에 산소..

[모야모야병] 약물치료 분석

약물치료의 필요성과 목적모야모야병은 근본적으로 혈관 구조 자체의 변화와 진행성을 보이는 질환이기 때문에, 단독 약물치료로 완치를 기대하기는 어렵습니다. 그러나 약물치료는 다음과 같은 목적에서 활용됩니다. 증상 완화 및 합병증 예방: 뇌혈류 부족으로 인한 허혈성 증상을 완화하고, 혈전 형성이나 출혈 위험을 줄이는 역할을 합니다. 보존적 치료로서의 역할: 수술적 치료가 어려운 환자나 초기 단계에서 진행 속도를 늦추고, 뇌의 허혈성 손상을 최소화하기 위한 보조 치료법으로 사용됩니다. 재혈류 보상 촉진: 일부 약물은 혈관 내피세포 기능을 보호하거나 혈관 신생에 영향을 미쳐, 자연적인 우회혈관 형성을 돕는 역할을 할 가능성이 연구되고 있습니다. 염증 및 산화 스트레스 감소: 만성 허혈과 관련된 염증 반응과 활성산..

[모야모야병] 치료적 전략 및 보존적 치료

보존적 치료 및 약물 요법 초기 및 경증 환자 관리혈액 순환 개선제: 모야모야병 초기 단계나 경증 환자에서는 혈액순환을 개선하고 혈전 형성을 억제하는 항응고제, 항혈소판제 등을 사용하여 뇌혈류를 안정화시키고 추가적인 허혈성 손상을 예방하는 데 중점을 둡니다. 체계적 관리: 환자의 혈압, 당뇨, 지질 수치 등 기저 질환을 철저하게 관리하여 동반 질환에 의한 추가 혈관 손상을 예방합니다. 정기적 추적 관찰: 보존적 치료를 시행하는 환자들은 정기적인 영상 검사와 신경학적 평가를 통해 질환의 진행 상황을 모니터링해야 합니다. 약물 치료의 한계와 역할약물 치료는 뇌혈류를 보존하거나 허혈을 완화하는 데 도움을 줄 수 있으나, 모야모야병의 근본적인 혈관 구조 변화(진행성 협착, 신생혈관 형성 등)를 직접적으로 해결하..

[모야모야병] 다른 뇌질환의 감별 진단 방법 및 사례 분석

감별 진단의 주요 대상 및 유사 증상 허혈성 뇌졸중과 모야모야병유사점:허혈성 뇌졸중은 혈관 폐색에 의해 특정 뇌 영역의 혈류가 차단되어 발생하며, 모야모야병 역시 협착으로 인한 허혈성 발작(TIA) 및 뇌경색 증상을 보입니다. 차이점:일반적인 허혈성 뇌졸중은 대개 동맥경화, 심장성 색전 등 명확한 원인에 의해 발생하는 반면, 모야모야병은 주로 내경동맥 말단부에서 진행성 협착과 신생혈관 형성이 동반됩니다. 또한, 모야모야병은 양측성이며, 영상상으로 ‘연기 모양(smoke-like)’의 혈관망이 특징적입니다. 동맥경화와 모야모야병유사점:두 질환 모두 동맥의 협착과 혈류 저하를 초래할 수 있으며, 특히 성인에서 나타나는 경우 비슷한 허혈성 증상을 보일 수 있습니다. 차이점:동맥경화는 일반적으로 노화나 고지혈증..

[모야모야병] 유전자 검사 및 바이오마커 진단법

모야모야병의 유전적 배경과 검사 방법모야모야병은 뇌혈관의 만성 진행성 폐쇄성 질환으로, 주로 내경동맥 말단부와 그 주요 분지에서 점진적인 협착과 폐색이 일어납니다. 이 질환은 가족 내 발생 빈도가 높은 것으로 알려져 있으며, 유전적 요인이 중요한 역할을 하는 것으로 보고되고 있습니다. 특히 동아시아 지역에서 유병률이 높은 만큼, 관련 유전자의 발견과 유전자 검사가 활발히 이루어지고 있습니다. RNF213 유전자의 중요성최근 연구에 따르면, RNF213 유전자의 특정 변이(특히 p.R4810K 변이)가 모야모야병의 주요 유전적 소인자로 밝혀졌습니다. 이 유전자는 단백질의 E3 리가아제 기능을 수행하며, 혈관 신생 및 혈관 벽의 안정성에 관여하는 것으로 추정됩니다. 동아시아 환자: 한국, 일본, 중국 등 동..

[모야모야병] 기능적 뇌영상(SPECT, PET)의 역할과 적용 방법

모야모야병의 기능적 뇌영상의 역할과 적용방법에 대해 상세하게 설명한 글입니다. 이 글에서는 기능적 뇌영상 기술의 기본 원리와 모야모야병 환자에서의 활용 목적, 그리고 각 기법들이 진단 및 치료 계획 수립에 어떻게 기여하는지를 다각도로 살펴보겠습니다. 기능적 뇌영상(FI, Functional Imaging)이란? 기능적 뇌영상은 단순히 뇌의 해부학적 구조를 확인하는 것이 아니라, 뇌의 대사 활동, 혈류 분포, 산소 소비, 그리고 신경활동 패턴 등 뇌 기능의 변화를 실시간 혹은 시간에 따라 평가할 수 있는 영상 기법을 말합니다. 주요 기법으로는 기능적 자기공명영상(fMRI), 단일광자방출단층촬영(SPECT), 양전자방출단층촬영(PET), 그리고 관류 MRI(Perfusion MRI, ASL 등) 등이 있습니..

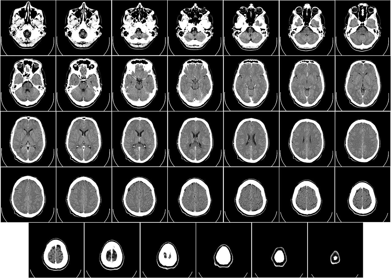
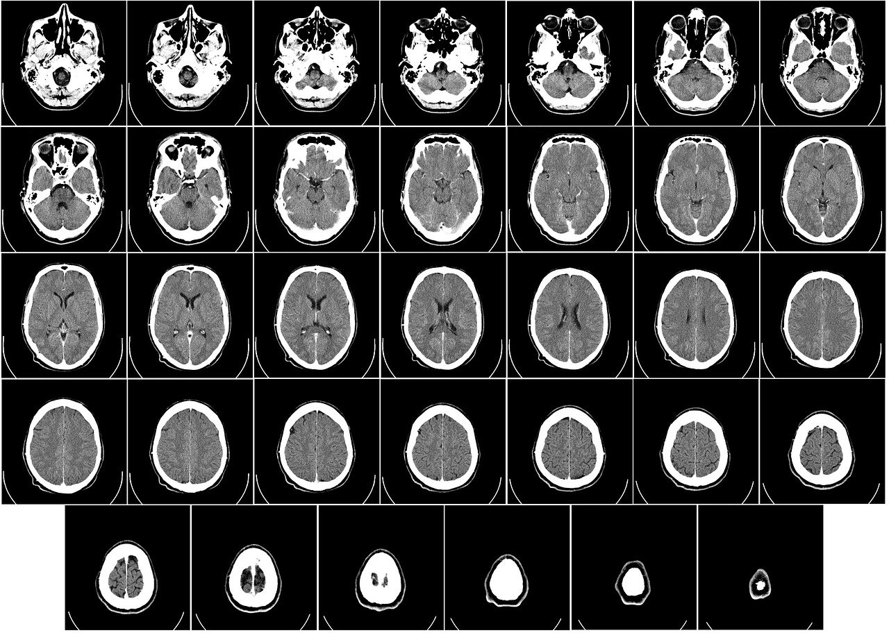
[모야모야병] CT 및 디지털 감산 혈관조영술(DSA)

모야모야병은 내경동맥 말단부 및 그 분지에서 진행성 협착이 발생하여 뇌혈류가 감소하고, 그 보상 작용으로 미세한 우회 혈관(신생혈관)이 형성되는 희귀 뇌혈관 질환입니다. 이러한 혈관 변화는 뇌경색, 뇌출혈 등 심각한 합병증을 유발할 수 있기 때문에, 정확한 영상 진단은 치료 결정과 예후 평가에 매우 중요합니다. 모야모야병의 진단에는 여러 영상 기법이 활용되지만, 그 중 CT와 DSA는 각각의 특징과 장점을 바탕으로 중요한 역할을 수행하고 있습니다. CT(컴퓨터 단층 촬영) 영상 검사 CT의 기본 원리 및 역할CT는 X-선을 이용해 신체를 단면별로 촬영하는 영상 기법입니다. 다양한 각도에서 촬영한 X선 데이터를 컴퓨터를 통해 재구성함으로써, 뇌의 구조와 병변 부위를 상세하게 확인할 수 있습니다. 모야모야병..

[모야모야병] 뇌 자기공명영상(MRI) 진단

MRI의 기본 원리와 역할뇌 자기공명영상(Magnetic Resonance Imaging, MRI)은 강력한 자기장과 라디오 주파수를 이용해 인체 조직의 수소 원자 핵을 자극, 반응을 측정하여 상세한 내부 영상을 생성하는 비침습적 영상 진단 기법입니다. MRI는 특히 연부 조직과 뇌 조직의 해부학적 구조를 뛰어난 해상도로 보여주어, 혈관과 뇌 조직의 미세한 변화를 파악하는 데 탁월합니다. 모야모야병과 같이 뇌혈관의 진행성 협착 및 신생혈관 형성이 있는 질환에서는 뇌의 허혈, 미세한 혈관 변화, 그리고 부종 및 출혈 등의 병리학적 변화를 확인하는 데 매우 유용합니다.모야모야병 진단에 사용되는 MRI 기법모야모야병의 진단을 위해 여러 MRI 기법이 함께 사용됩니다. 각각의 기법은 서로 다른 정보를 제공하여 ..

[모야모야병] 모야모야병의 비특이적 증상과 합병증 분석

모야모야병은 내경동맥 말단부와 그 분지(중대뇌동맥, 전대뇌동맥 등)에 진행성 협착과 폐색이 발생하여 뇌로의 혈류 공급이 감소하는 만성 진행성 질환입니다. 이 질환은 주로 동아시아에서 높은 유병률을 보이지만, 전 세계적으로 다양한 임상 양상을 나타냅니다. 특히 모야모야병은 전형적인 허혈성 또는 출혈성 증상 외에도 비특이적 증상들이 동반되는 경우가 많아, 조기 진단과 정확한 평가에 어려움을 주기도 합니다. 또한 질환의 진행과정에서 나타나는 다양한 합병증은 환자의 예후와 삶의 질에 중대한 영향을 미칩니다.  모야모야병의 비특이적 증상모야모야병의 비특이적 증상은 특정 증상으로 쉽게 진단되지 않을 수 있으나, 환자의 전반적인 건강 상태와 뇌혈류 변화에 따른 여러 가지 경미한 증상들을 포함합니다. 만성 두통과 편두..

[모야모야병] 성인에게 나타나는 임상 증상 특징

성인에서 나타나는 모야모야병의 임상 증상에 대해 자세히 설명한 글입니다. 성인 모야모야병은 소아와는 달리 증상의 양상과 진행 패턴이 다소 차이를 보이며, 주요 임상 증상은 허혈성과 출혈성이 혼재하는 경우가 많습니다. 아래에서 성인 모야모야병 환자에게서 나타나는 다양한 증상들을 임상적 특징과 병태생리를 중심으로 살펴보겠습니다. 성인 모야모야병의 개요 모야모야병은 뇌혈관의 만성 진행성 협착 및 폐색으로 인해 뇌의 허혈 상태를 초래하는 질환입니다. 성인 환자에서는 이러한 혈관 변화로 인해 신경학적 증상이 발생하는데, 증상은 허혈성 증상과 출혈성 증상이 모두 나타날 수 있습니다. 성인에서 모야모야병은 주로 30대에서 50대 사이에 발병하며, 초기에는 미묘한 증상으로 시작되다가 병이 진행됨에 따라 중증의 신경학적..

반응형